Lehre

Lehrmodul Anatomie Computertomographie

Unterrichtsbeauftragte

Zentrum der Radiologie,
Klinik für Radiologie
und Nuklearmedizin

Dr. Renate Hammerstingl

069 6301-87269

Sekretariat Lehre

Klinik für Radiologie
und Nuklearmedizin
Theodor-Stern-Kai 7
60590 Frankfurt

Frau Andrea Wirth

069 6301-5167

069 6301-83154

Lehrkoordination
- Radiologie

Klinik für
Radiologie
und Nuklearmedizin

Dr. rer. nat. Lisa Reisbeck

069 6301-87215

Weitere Informationen
Vorlesungsverzeichnis
der Goethe-Universität

Vorlesungsverzeichnis

Moodle der
Goethe-Universität

Moodle

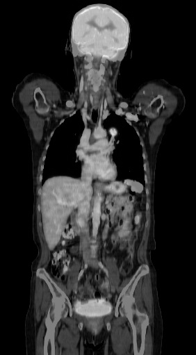
Die ein­zel­nen Kör­per­re­gio­nen wer­den mit­tels einem Computertomographen dar­ge­stellt. Es wer­den die je­wei­li­gen Kör­per­re­gio­nen in Un­ter­mo­du­len ab­ge­han­delt.

Kontakt

Vereinbaren Sie Ihren Untersuchungstermin von Montag bis Freitag in der Zeit von 07:30 bis 17:00 Uhr.

Sekretariat Prof. Thomas J. Vogl

 069 6301-7277

Interventionsambulanz

 069 6301-4736

Zentral-​Radiologie

 069 6301-87202

Gynäkologische Radiologie

 069 6301-5174

Kinder- und Jugendradiologie

 069 6301-5248

069 6301-​87202