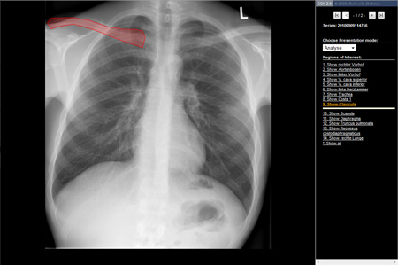
Abb. 1 „Analyse“: Rö-Thorax mit Markierung der anatomischen Strukturen
Anleitung Anatomie-Tool
Für die jeweils relevanten Bilder/Schichtungen steht ein Analysetool zur Verfügung bestehend aus drei verschiedenen Übungsmöglichkeiten:
- Analyse
- Exploration
- Evaluation
Der Modus „Analyse“ ermöglicht eine schnelle Übersicht der einzelnen für das aufgerufene Bild wichtigen anatomischen Strukturen. Es sind die Umrisse der jeweils ausgewählten Struktur mit Angabe der genauen Bezeichnung zu sehen (siehe Abb.1).

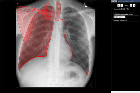
Der Modus „Exploration“ bietet eine schnelle Übersicht über die im Bild vorhandenen anatomischen Strukturen (siehe Abb. 2).

Abb.2 „Exploration“ Röntgen-Thorax mit Markierung aller anatomischen Strukturen
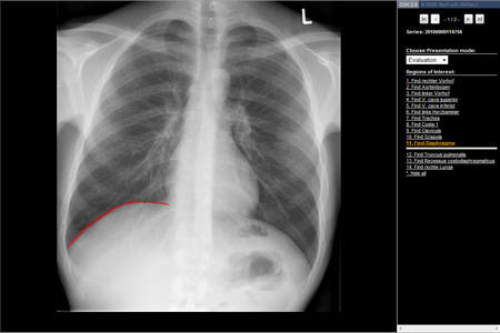
Mit dem Modus „Evaluation“ ist die Möglichkeit der Überprüfung des erlernten Wissens gegeben. Eine anatomische Struktur wird in der Liste ausgewählt und muss in dem gezeigten Bild mit der rechten Maustaste markiert werden. Ist die Auswahl richtig stellt sich die Struktur mit gesamtem Umfang dar (siehe Abb. 3).

Abb. 3 „Evaluate“ Röntgen-Thorax mit Abfrage einer einzelnen anatomischen Struktur