Transarterielle Periartikuläre Embolisation
Embolisation bei schmerzhaften Erkrankungen des Bewegungsapparats
Was ist TAPE?
TAPE (Transarterielle Periartikuläre Embolisation) ist ein minimalinvasives, bildgesteuertes Verfahren zur Behandlung chronischer Gelenkschmerzen.
Wie funktioniert TAPE?
Mit moderner Bildgebung (z.B. Angiographie) werden abnormale Blutgefäße identifiziert, die Entzündungen und Schmerzen verursachen. Durch gezielten Verschluss dieser Gefäße wird die Blutversorgung und damit der Zufluss von entzündungsfördernden Zellen reduziert – das führt zu einer spürbaren Schmerzlinderung und verbessert die Gelenkfunktion. TAPE wird erfolgreich bei verschiedenen Gelenkerkrankungen eingesetzt und stellt eine Alternative zu herkömmlichen konservativen und operativen Behandlungsmethoden dar.
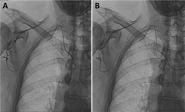
Der Eingriff
Zunächst erfolgt eine umfassende Diagnostik, beispielsweise mittels MRT oder CT, um die genaue Stelle mit abnormalem Blutfluss im Gelenk zu lokalisieren. Der Eingriffsbereich wird anschließend lokal betäubt, so dass der/die Patient/-in während
des Eingriffs kaum etwas spürt.
Über einen kleinen Einstich wird ein dünner Katheter in die entsprechende Arterie eingeführt. Mithilfe von bildgebenden Verfahren (z.B. Angiographie) werden die betroffenen, abnormen Blutgefäße sichtbar gemacht. Danach wird ein spezielles embolisierendes Material (z.B. Imipenem/Cilastatin mit Kontrastmittel, ggf. ergänzt durch Mikrosphären) schrittweise direkt in diese Gefäße injiziert, bis der Blutfluss in den Zielgefäßen blockiert ist. Dieser gezielte Verschluss reduziert die Entzündungsprozesse und führt zur Linderung der Schmerzen. Abschließend erfolgt eine erneute Bildgebung, um den Erfolg des Eingriffs zu bestätigen. Nach dem Eingriff wird der/die Patient/-in auf unserer Tagesstation überwacht. Dank der minimalinvasiven Technik ist der Eingriff in der Regel kurz und ermöglicht eine schnelle Erholung, so dass die Patienten/innen rasch ihren normalen Aktivitäten nachgehen können.
Wann wird TAPE angewandt?
- Chronische Schmerzen in Knie, Hüfte, Schulter, Ellenbogen oder anderen Gelenken.
- Entzündliche oder degenerative Gelenkerkrankungen, die die Lebensqualität und Mobilität einschränken.
- Fälle mit nachweisbarer abnormaler Neovaskularisation.
Für wen ist TAPE geeignet?
- Patienten mit chronischen Gelenkschmerzen, die auf konservative Therapien (z.B. Physiotherapie, Medikamente) nicht ausreichend ansprechen.
- Personen mit Arthrose, rheumatoide Arthritis oder anderen degenerativen Gelenkerkrankungen.
- Patienten, die eine minimalinvasive Alternative zu operativen Eingriffen suchen.
Die Vorteile von TAPE
- Minimalinvasiv: Keine großen Schnitte sowie geringeres Risiko im Vergleich zu Operationen.
- Gezielte Schmerzlinderung: Direkte Behandlung der Schmerzursache im Gelenk durch Reduktion des abnormalen Blutflusses.
- Schnelle Erholung: Kurze Genesungszeit, oft ambulant durchführbar.
- Hohe Erfolgsquote: Viele Patienten berichten über langfristige Schmerzreduktion.
- Alternative zur Operation: Kann in vielen Fällen eine Operation vermeiden oder hinauszögern.
Anwendungsbeispiele
Kniegelenk

Schultergelenk

Hüftgelenk

Sie möchten sich zur Embolisationstherapie beraten lassen?
Kontaktieren Sie uns gerne per Mail oder telefonisch
Ihre Ansprechpartner zur TAPE im RUN
Weitere Informationen
Universitätsmedizin Frankfurt
Klinik für Radiologie und Nuklearmedizin
Interventtions-Ambulanz
Theodor-Stern-Kai 7
60590 Frankfurt am Main
Kontakt
069 6301 4736
Mehr Informationen finden Sie auf unserem Flyer.